definicja
stan chorobowy polegający na przedniobocznym wyginaniu kości goleni (najczęściej jednostronnym), następczych złamaniach i tworzeniu stawu rzekomego , mający najczęściej swój początek we wczesnym dzieciństwie i kończący się wraz z zakończeniem wzrostu.
epidemiologia
rzadka choroba (1:190 000), dotyczy zarówno chłopców jak i dziewczynki, częściej występuje w takich chorobach jak neurofibromatoza (blisko połowa pacj z CPT ma NF)
etiologia i patogeneza
ostre złamanie najczęściej występuje przed 2rż (wystąpienie złamania przed 4rż pogarsza rokowanie i zwiększa ryzyko niepowodzenia leczenia z amputacją włącznie)
W zależności od stadium rozwoju dzielimy na
- Prepseudoarthrosis przed złamaniem i rozwojem stawu rzekomego
- pseudoarthrosis - po złamaniu
Klasyfikacja Andersena:
- sklerotyczna przebiega ze zwężeniem kanału szpikowego i pogrubieniem korówki zwłaszcza po stronie wklęsłej
- torbielowata przebiega z tworzeniem cyst, lecz bez ścieńczenia i obrazem mikroskopowym może przypominać dysplazję włóknistą.
- dysplastyczna przebiega ze ścieńczeniem, obliteracją kanału szpikowego i sklerotyzacją kości korowej
Klasyfikacja Crawforda i Bagamery:
- Typ I – zagięcie przednio-boczne z prawidłowym kanałem szpikowym, prognoza dobra, może nigdy nie dojść do złamania
- Typ II - (sklerotyczny) – zagięcie przednio-boczne ze sklerotyzacją korówki i zwężeniem jamy szpikowej, wymaga ortezowania, prawdopodobne złamanie, przewidywane leczenie operacyjne
- Typ III - (cystyczny v. torbielowaty) – Zagięcie przednio-boczne ze zmianami torbielowatymi w okolicy zagięcia, wymaga wczesnej interwencji operacyjnej ze względu na częste złamania z następczym stawem rzekomym
- Typ IV - (dysplastyczny) – najgorsze rokowanie, zagięcie przednio-boczne ze złamaniem i stawem rzekomym, z wrzecionowatym zwężeniem kości w obrębie stawu rzekomego, z całkowitym lub częściowym zamknięciem kanału szpikowego.
diagnostyka różnicowa
w rozpoznani uwzględnić należy neurofibromatozę (10 % pacjentów z NF ma też CPT, a połowa pacj z CPT ma również NF)
obraz radiologiczny i przebieg kliniczny choroby są dość charakterystyczne
leczenie
do czasu złamania leczenie wyłącznie zachowawcze z unieruchamianiem ortezami pełnokontaktowymi (z objęciem kolana i uda), po złamaniu agresywne leczenie operacyjne. Obecnie stosowane leczenie operacyjne obejmuje:
wycięcie stawu rzekomego, zastosowanie przeszczepów oraz:
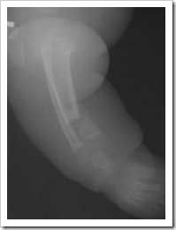
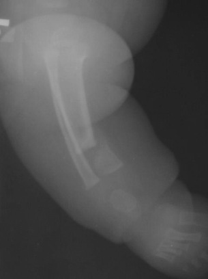
- śródszpikową stabilizację (gwoździe blokowane, pręty endera, TEN) Jeśli staw rzekomy jest blisko nasady do rozważenia jest założenie wszczepu śródszpikowego przezpiętowo. Zyska się w ten sposób dodatkową stabilność fragmentu dystalnego jednak kosztem późniejszych zaburzeń w obrębie stawu skokowego (Obu)
- unaczyniony przeszczep strzałki - zazwyczaj uzyskuje się ze strony przeciwnej, nie objętej chorobą, brak jednak dobrych badań uwzgędniających chorobowość miejsca pobrania przeszczepu
- osteosyntezę aparatem Ilizarowa (lub pokrewnym ) z ewentualnym transportem kostnym.
- dodatkowo w każdej z metod po jawiła się możliwość zastosowania RH-BMP co znacznie polepszyło rokowanie co do uzyskania zrostu. Jednak jego zastosowanie niektórzy wiążą z obawami co do potencjalnego nowotworzenia w sytuacji gdy stosujemy go w stanach o których wiadomo że jest zwiększona zapadalność na nowotwory jak właśnie neurofibromatoza.
- ostatecznym rozwiązaniem jest amputacja, przy czy mimo iż kusząca wydaje się możliwośc amputacji na poziomie pseudartrozy, trzeba przeprowadzić ją wyżej tak aby uniknąć tworzenia kikuta z tkanek wielokrotnie uszkadzanych przez wcześniejsze operacje i by uniknąć wąskiego dysplastycznego końca piszczeli z okolicy pseudartrozy.
rokowanie
Jedynie doprowadzenie dziecka z wygojona, równa kończyną do zakończenia okresu wzrostu pozwala mówić o sukcesie leczenia .
Wystąpienie pierwszego złamania przed 4rż pogarsza rokowanie i zwiększa ryzyko amputacji, 2-3 krotne ponowne złamania z niemożnością uzyskania zrostu mocno podwyższają ryzyko amputacji. Możliwość amputacji należy zasygnalizować rodzicom na początku leczenia, samą amputację należy rozważać po 2-3x operacjach bez uzyskania zrostu, skróceniu kończyny ponad 6 cm, czy opóźnieniu rozwoju społecznego dziecka związanego z długotrwałymi hospitalizacjami i wielokrotnymi operacjami.
Piśmiennictwo:
Journal of AAOS – PE vol 1 nr 1 2008 s. 10-18
Bernardczyk K. Wiktora Degi Ortopedia i rehabilitacja. 1. wyd. Warszawa: Wydawnictwo Lekarskie PZWL; 2008.